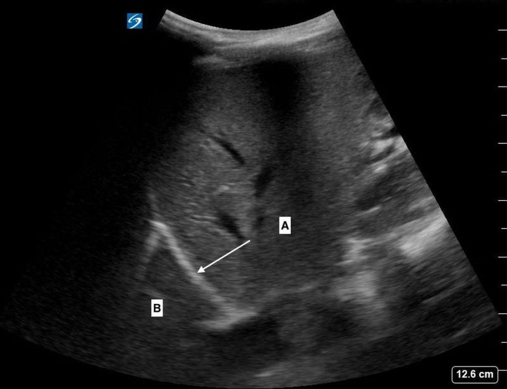
Thoracic Limited Bedside Thoracic Ultrasound A. Clip of bilateral sliding lung https://vcuultrasound.com/wp-content/uploads/2020/07/3e626-video-4.3-lung-sliding.mp4 B. Clip of bilateral upper and lower lung looking for B-Lines (4 separate clips) https://vcuultrasound.com/wp-content/uploads/2020/07/6045d-video-4.1-b-lines.mp4 C. Clip of bilateral costophrenic angles A) Costrophrenic angle B) Lung Share this: Share on X (Opens in new window) X Share on Facebook (Opens in new window) Facebook Like Loading...