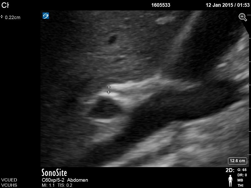
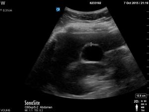
Biliary A. Clip of long axis of GB with portal triad https://vcuultrasound.com/wp-content/uploads/2020/07/0a613-video-8.1-gb-long-axis.mp4 B. Clip of scan through short axis of GB https://vcuultrasound.com/wp-content/uploads/2020/07/c6f26-video-8.2-gb-short-axis.mp4 C. Measurement of CBD with color flow (inner to inner wall) D. Measurement of GB wall in cross section at anterior portion from outer to inner Share this: Share on X (Opens in new window) X Share on Facebook (Opens in new window) Facebook Like Loading...