Limited Bedside Abdominal Aortic Ultrasound
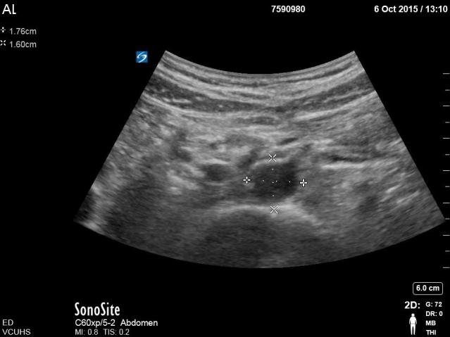
A. Measurement of proximal aorta in cross-section from outer to outer wall + clip scanning through

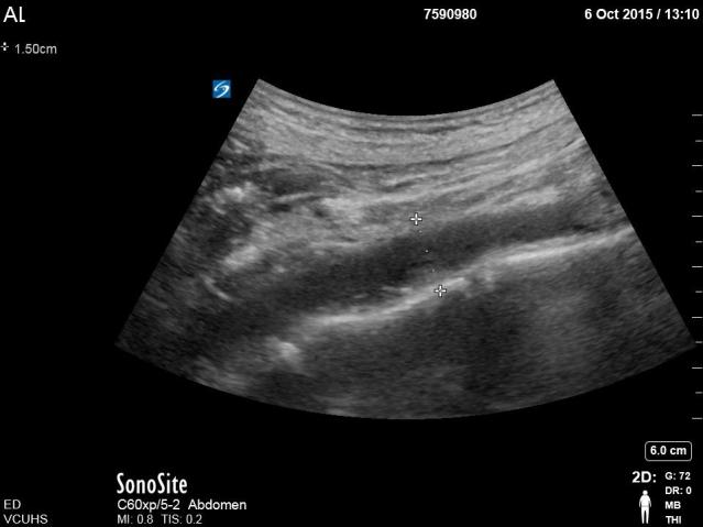
B. Measurement of distal aorta (just prox to bifurcation) from outer to outer wall + clip showing bifurcation

C. Clip of longitudinal aorta (optional)

D. Clip of aorta in cross section scanning from proximal to distal (optional)